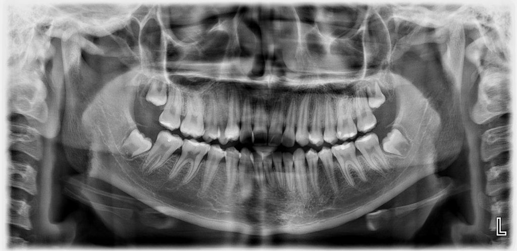
RADIOGRAFÍA Y TOMOGRAFÍA CONE BEAM ODONTOLÓGICA
Estamos en Salta
CRYT Centro Radiológico y Tomográfico Odontológico / Dental en Salta
- Radiología
- Ortopantomografía
- Placas panorámicas dentales
- Radiografía panorámica dental
Trabajamos para construir una cultura cuyos valores primordiales sean el compromiso, con la atención centrada en el paciente y su familia. Además apostamos a la gestión del conocimiento, el bienestar y la seguridad de los pacientes.
Contáctenos para programar una visita personalizada a su consultorio. También estamos a disposición de los profesionales para asesoramiento, instalación de software y responder todas sus consultas.










